A raíz de un fuerte dolor en la rodilla izquierda producto de una caída, un hombre de 63 años debió acudir al servicio de emergencias del Lincoln Medical and Mental Health Center del Bronx. Durante su consulta se dieron cuenta que padecía una rarísima e inesperada enfermedad.
Resulta que el paciente, quien tiene antecedentes de alcoholismo, fue encontrado sano por los doctores que examinaron el golpe en la articulación. A pesar de esto, el sujeto les comentó que tenía molestias en su pene, por lo que le realizaron una radiografía pélvica.
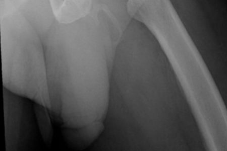
Y los extraños resultados, mostraron que su pene se estaba convirtiendo en hueso, por lo que se veía nítido en los rayos X. Tan particular resultó ser esta patología que incluso terminó suiendo publicada en la revista Urology Case Reports.
También te puede interesar: Detectan nuevo virus que te graba cuando te metes a sitios porno
«La osificación del pene, una condición rara, se ha relacionado con la enfermedad de Peyronie. La osificación se lleva a cabo generalmente en la mitad del eje del pene con pocos casos en todo el eje, como en éste» se puede leer en el estudio.
En el mundo hay al menos 40 casos de esta enfermedad, la cual consiste en la calcificación de los tejidos blancos. Por lo que la placa endurecida reduce la flexibilidad, provocando una curvatura durante la erección, lo que redunda en disfunción eréctil.
Los médicos aseguraron que: «Nuestro paciente presentaba una fase aguda de su enfermedad debido a la presencia de dolor en el pene». El tratamiento depende de la extensión de esta condición, junto con los síntomas del paciente.
Lamentablemente esta historia hasta el momento no tiene un final feliz, pues el sujeto decidió no escuchar a los médicos y no quiso seguir ningún tratamiento, por lo que el dolor y los síntomas serán cada vez peores.
